Feedback on your answer
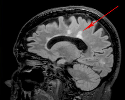
Caps and Bands Typical Dawson finger aspect Virchow Robin spaces Artefact Diffuse non-MS lesion