Feedback on your answer
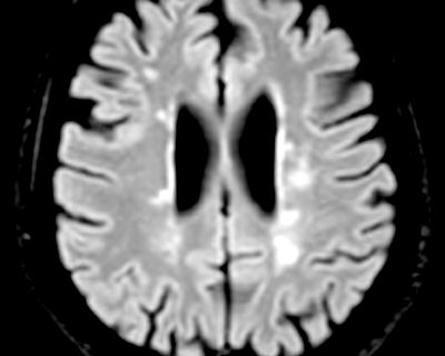
typical MS lesions typical vascular lesion lesion not typical for MS nor vascular a mix of vascular and MS lesions