Start
Case 1
Case 2
Case 3
Case 4
Case 5
Case 6
Case 7
Case 8
Case 9
Case 10
Case 11
Case 12
Case 13
Case 14
Case 15
Case 16
Case 17
Case 18
Case 19
Case 20
Case 21
Case 22
Case 23
Case 24
Case 25
Diagram McDonald criteria
Tipsheet McDonald criteria
Scheme McDonald criteria
DIS Dissemination in Space
DIT Dissemination in Time
Full article McDonald criteria
MS characteristic lesions
McDonald 2005 vs 2010
Abbreviations
About
IAC Amsterdam & MS Center
Indicate the type of lesion
Feedback on your answer
Periventricular lesion
Juxtacortical lesion
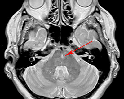
Infratentorial lesion