IAC Image Analysis Center Amsterdam HOME

MS non-characteristic shapes

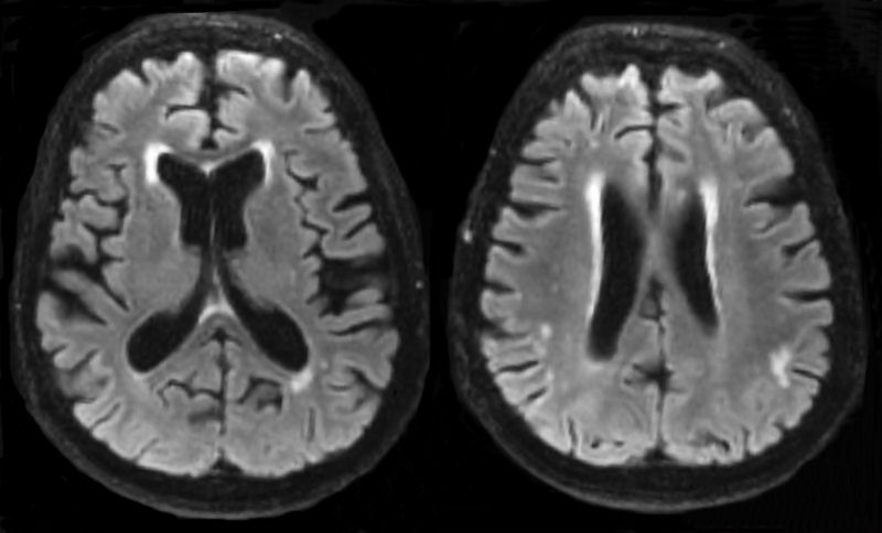
Some other shapes non-characteristic for MS lesions are the so called caps and bands around the ventricles. These are found in almost all elderly people and are not characteristic for MS.

caps

BACK